兰州扁平疣诊疗医生表示,很多扁平疣患者都有这样的经历:为了治疗疾病辗转过多家医院治疗,钱花了不少可就是没有明显效果,甚至越看病情越严重。究其原因,是没有选择一家正规的医院和科学的疗法,致使延误了病情还多花了很多冤枉钱。作为中西结合治疗皮肤病的专科医院,兰州北大皮肤专科研发的扁平疣疗法可快速除扁平疣,治疗费用更节省。
兰州北大皮肤专科是特区的中西结合治疗皮肤病专科医院,始终坚持医院的公益性,严格执行医疗收费标准,从患者切身利益着想,坚守用优惠的价格、诚信的医疗、精湛的技术打造真正为老百姓谋健康的医疗品牌。医院坚决贯彻病人收费项目公开、透明、合理的收费制度。同时加大公众的监管力的同时,促使医院内部的价格管理制度更为健全。先后被评为“质量、服务诚信示范单位”。
兰州北大皮肤专科医生根据扁平疣的病因病理,结合中西医治疗扁平疣的介绍,研发出“中西医联合净毒祛疣疗法”,首先运用高端设备精准检测出病因,然后针对病因运用西医最的激光动力治疗系统--“净毒激光仪”,利用激光高强度的光波脉冲原理,对符合病毒特征的耙组织进行杀灭和破坏,对皮肤的色素和毛囊的色素可以进行选择性的吸收,不损伤正常的生理组织,去除疣体的同时不留疤痕。同时,配合中药的药物治疗提高人体免疫力,并对体内毒素进行查杀,双管齐下,由表及里消灭病毒,从而达到全面治疗扁平疣,一次付费,根治,避免了多次治疗,多次付费!

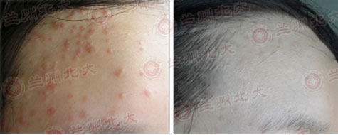
我院治疗扁平疣前后对比图
由于很多患者对于如何治疗扁平疣并不了解,甚至误把正常扁平疣当成其他疾病治疗,走了很多弯路,浪费精力和花了很多的冤枉钱,同时也延误了最佳治疗时期,加大治疗难度,造成病情的加重与反复,给患者身心带来了很大的伤害。兰州北大皮肤专科针对各种不同病源和进程的扁平疣,采用个性化临床治疗方案,免去了很多不必要的治疗环节,快速直接治愈扁平疣,节省了患者的治疗费用!
兰州北大皮肤专科是特区的中西结合治疗皮肤病专科医院,国内知名皮肤病医生常年坐诊,擅长中西结合治疗皮肤病,在治疗皮肤病上有看得见的疗效,环境温馨舒适,服务细致入微,设备一流,为广大皮肤病患者的身心健康赢得有利保障。我院严格执行物价部门核准价格,并严格按照治疗方案、治疗效果、治疗费用“三透明”的原则,把主动权交给患者,让患者放心,力争让所有患者都能用最少的费用享受的医疗。
如有扁平疣问题,可点击
1、我院就诊患者较多,请提前网上预约挂号
2、接诊时间:8:30—18:00(节假日不休)
医院地址:甘肃省兰州市七里河区西津东路14号
健康热线: 咨询QQ:1624419910
备案:陇ICP备16003452号
特别申明:本网站所有内容仅供参考,不能代表医生的诊断和治疗依据。
