扁平疣皮疹为帽针头至绿豆大小的扁平光滑丘疹,呈圆形、椭园形或多角形,质硬。为正常肤色或淡褐色。可发生于颜面、手背、腋窝等身体各部位。因扁平疣专在暴露部位发病,尤其爱出现在面部,且皮损有碍观瞻,很伤“面子”。
扁平疣可以通过密切接触传染家人和朋友,因此,容易在亲人间导致隔阂。扁平疣的传染性还表现在可通过间接方式传染,如污染物、创伤等方式感染,自身的搔抓也能引起接种传播,引起扁平疣泛发,使得治疗困难。
扁平疣更大的危害是HPV病毒可致女性发生宫颈癌。现代医学研究证实,凡由“人类乳头瘤病毒”感染而导致的疾病均可导致癌变,其中,以“疣状表皮发育不良”癌变率最高,“尖锐湿疣”次之,“扁平疣”癌变率排第三。据世界卫生组织统计,宫颈癌的发生与人乳头瘤病毒HPV感染密切相关,其致癌率为4.7%-10.2%。宫颈癌在女性恶性肿瘤中排名第二位,仅次于乳腺癌,而且发病年龄群呈越来越呈年轻的趋势。
扁平疣的治疗需要对病因进行详细检测,并采用针对性的治疗方法。患者出现该病的相似症状时,尽量不要私自用药,若药不对症,不但起不到治疗效果,还可以导致其它副作用。患者应及时就医,以免延误最佳治疗时间。

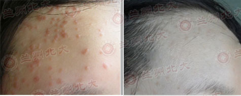
兰州北大皮肤病医院治疗扁平疣前后对比图

彭女士治疗前后对比图
医生忠告:扁平疣是病毒性疾病易传染恶化,正确对待扁平疣应及早发现及时治疗,治疗请选择正规皮肤病医院。如有任何疑问,兰州北大皮肤专科医生会为你答疑解惑,祝您早日康复。如果您想体验“中西结合净毒祛疣疗法”,可以点击我们的
1、我院就诊患者较多,请提前网上预约挂号
2、接诊时间:8:30—18:00(节假日不休)
医院地址:甘肃省兰州市七里河区西津东路14号
健康热线: 咨询QQ:1624419910
备案:陇ICP备16003452号
特别申明:本网站所有内容仅供参考,不能代表医生的诊断和治疗依据。
