皮炎虽然是一种常见的皮肤病,但是诱发因素很多。兰州北大皮肤专科医生指出,皮炎根据不同的致病因素,分为多种类型,如接触性皮炎、神经性皮炎、脂溢性皮炎等。不同类型的皮炎,它的诱发因素也不大相同。

一、北大皮炎治疗医生深度解析不同类型皮炎发病原因
接触性皮炎:人体接触某种物质后,在皮肤或粘膜上因过敏或强烈刺激而产生的一种炎症。多数急性发作,如果反复接触,可演变成慢性皮炎。

神经性皮炎:又称慢性苔藓,中医认为由皮质抑制和兴奋功能紊乱导致。常因情绪波动、过度紧张、神经衰弱等发病或加剧症状。消化系统疾病、内分泌障碍、病灶感染、酒精中毒、衣摩擦、日晒出汗等局部刺激均可诱发本病,使病情加重。

脂溢性皮炎:多见于30岁至50岁,尤其是肥胖的中年人,发病原因与体质有关,主要是皮脂腺分泌过于旺盛。好发于皮脂腺分布较多的地方,如头皮、面部、胸部及皱褶部。

日光性皮炎:是由日光诱发的一种迟发性光变态反应性皮肤病。有人认为主要由中波紫外线引起,也有人认为主要由长波紫外线引起。临床表现为多形性皮疹可有红斑、丘疹、水疱、糜烂、鳞屑、苔藓样变,常以某种皮疹为主。

医生提醒:不同的皮炎病因不同。发现皮炎的症状后,不能盲目用药,应当到正规、专业医院确诊,之后让医生制定科学治疗方案,接受科学治疗。患者也可以在线预约医生,让医生分析诊断,再根据医生建议科学就医。
二、治疗误区——西药副作用大盲目用药反复发作
当前西医治疗皮炎多以“内服抗组胺药物,皮质激素类药物临时抑制”为多,如口服西药,口服激素,外用溶液洗剂、乳剂、泥膏、油剂、软膏、涂膜剂、酊剂及硬膏等。而长时间或大剂量外用“皮质激素类”药物,会形成药物依赖性。其中,最常见的是,用药后病情好转,一旦停药后,用药部位原发病变加重;如再停药,反跳性再发,还会引起机体糖、蛋白质、脂肪及水电解质等一系列物质代谢紊乱,破坏机体的防卫系统和抑制免疫反应能力,加重病情。
北大医生在此提醒广大皮炎患者,如果想要早日摆脱病症的折磨,要及时到正规医院接受科学规范治疗。
三、治疗皮炎的最佳疗法
“中西结合疗法”,高效快速治疗皮炎
治疗原理:治疗皮炎,关键在于改变患者的过敏体质,清除患者体内的致敏因子,并恢复患者免疫功能。在此基础上,消除表面的皮炎症状。对此,兰州北大皮肤专科医生应用 “中西结合疗法”治疗皮炎,克服了皮炎反复发作难题,达到皮炎高效治疗的效果。
治疗过程:
一、鉴别诊断、分型论治
中医把脉问诊结合现代化诊断设备,如德国新一代过敏原检测设备,精确病因及科学分型,进而采取一人一方的综合治疗方案。
二、内服中药、排毒祛湿
用抗敏固表、清热解毒、祛风除湿、疏肝理气、活血化瘀功效的中药,排毒,祛湿,杀菌,抑菌、修复受损细胞、恢复皮肤内部生态平衡。
三、中药面膜、雾化治疗
萃取西洋参、珍珠粉、灵芝等百余种名贵中草药制成独特的中医面膜,结合雾化治疗,使药物快速渗透到皮肤组织,温经活血,消除炎症。制出中医药膜。
四、纳米微波治疗
纳米微波通过炎症反映区的能量吸收,对人体神经、体液、内分泌等进行双向调节,达到调节机体免疫力,恢复自然生理机能。

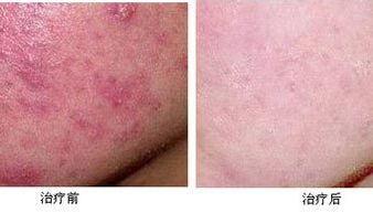
(我院皮炎患者治疗前后对比图)
疗法介绍:
1、个性治疗、多效并举
针对患者不同过敏源,采用个性化治疗方案,内服中药,辅之纳米微波加雾化、中药石膏倒膜加雾化治疗,内外结合一起调理。
2、抗炎修复、光洁皮肤
将中药物理作用于病灶,可改变过敏体质,有效调节机体免疫力恢复,恢复内分泌平衡,达到嫩肤和美容效果。
3、治疗效果快速明显
药物和仪器,对皮肤的刺激小,治疗过程轻松,效果明显,解决反复难题。
温馨提示:皮炎经过科学治疗,能够获得良好的效果。患者应当提高科学诊疗意识,及时选择专业、正规医院接受科学治疗,争取早日康复。在此,关于皮炎治疗等问题,均可直接预约我院医生,获得详细解答。如果有来院需要,可提前挂号,避免到院挂号难,看不到医生。
1、我院就诊患者较多,请提前网上预约挂号
2、接诊时间:8:30—18:00(节假日不休)
医院地址:甘肃省兰州市七里河区西津东路14号
健康热线: 咨询QQ:1624419910
备案:陇ICP备16003452号
特别申明:本网站所有内容仅供参考,不能代表医生的诊断和治疗依据。
